歯科矯正
最終更新日:2026年1月23日
しゃくれを治すには矯正が必要?セルフチェックリストと原因別の治療法を解説

【この記事のポイント】
- しゃくれの原因は大きく2種類で、原因によって治療法が異なる。
- しゃくれはセルフチェックできる。ただし、治すためには精密診断が不可欠。
- 歯並びが原因であれば、矯正のみで改善が期待できる。
「横から見ると顎がしゃくれていて、自信が持てない」
このようにしゃくれの悩みを抱えていませんか?
しゃくれには、症状によって治療法やかかる費用も大きく変わります。
軽度であればマウスピース矯正やワイヤー矯正だけで、手術なしで改善が期待できるケースも少なくありません。
本記事では、しゃくれの原因別の治し方をどこよりもわかりやすく解説します。
自分に最適な改善方法を知り、自信の持てる横顔への最短ルートを見つけましょう。

歯科矯正ブログ編集チーム
木村真由美
Oh my teethでのマウスピース矯正を経て、2021年6月に株式会社Oh my teethにジョイン。マウスピース矯正経験者としてOh my teethのオウンドメディア「歯科矯正ブログ」にて記事を更新中。ミッションは「歯並びに悩むすべての方に歯科矯正の確かな情報をお届けすること」。
目次
- 【原因別】しゃくれを治す2つの方法
- 歯並びが原因のしゃくれなら、矯正で治る
- 骨格が原因のしゃくれは外科手術が必要
- 【チェックリスト】自分のしゃくれはどちらのタイプ?
- しゃくれを放置する3つのリスク
- しゃくれを治すメリット
- 【原因別】しゃくれの歯列矯正方法
- ワイヤー矯正
- マウスピース矯正
- 外科的矯正
- しゃくれは矯正ではなく、自力で治せる?
- しゃくれを治す際の注意点
- 骨格性の場合、歯列矯正だけでは限界がある
- 矯正後に「後戻り」を防ぐための保定期間が必須
- 歯科医師による正確な診断が不可欠
- しゃくれの矯正に関するよくある質問(FAQ)
- 大人でもしゃくれの矯正はできる?
- 子どものしゃくれ矯正は何歳から始めるのが理想ですか?
- 矯正後にしゃくれることも?
- しゃくれを放置するとどんな影響がある?
- しゃくれは市販のグッズで矯正できる?
- しゃくれの矯正は保険適用される?
- 「受け口じゃないのにしゃくれ」に見えるケースはある?
- しゃくれ矯正で悩んだ時のファーストステップ
【原因別】しゃくれを治す2つの方法

しゃくれの原因は、大きく分けて「歯並びによるもの」と「骨格によるもの」の2種類。
見た目は似ていても、原因によって治療の内容や難易度、費用が大きく変わります。
そのため、まずは自分のしゃくれがどちらに当てはまるのかを正しく把握することが重要です。
ここからは、それぞれの原因について詳しく見ていきましょう。
歯並びが原因のしゃくれなら、矯正で治る

歯並びが原因で起こるしゃくれは、「反対咬合(はんたいこうごう)」と呼ばれ、上下の前歯の噛み合わせが逆になっている状態です。
このタイプは、矯正治療だけで改善できるケースが多く、軽度であれば手術はいりません。
歯の傾きや位置のズレが原因であれば、ワイヤー矯正やマウスピース矯正で噛み合わせを整えられます。
たとえば、マウスピース矯正は、下の歯全体を後ろに下げる「遠心移動」という動きにおいて、87〜88%という高い予測実現性(治療計画と実際の動きの合致率)※があることが報告されています。
参考:日本歯科評論2024年7月号 「アライナー矯正治療を正しく知るためのQ&A(P39)」より
骨格が原因のしゃくれは外科手術が必要

骨格性のしゃくれは「下顎前突(かがくぜんとつ)」と呼ばれ、下あごの骨自体が前に出ている状態です。
このケースでは、歯並びを整える矯正治療と、あごの骨を外科的に切除して位置を下げる「外科的矯正治療(セットバック手術など)」を組み合わせて改善を図ります。
この場合、「顎変形症」と診断されれば、指定された医療機関で保険診療として治療が受けられることもあります。
あわせて読みたい⇓
【チェックリスト】自分のしゃくれはどちらのタイプ?
自分のしゃくれが「歯並び」によるものか「骨格」によるものかは、治療の難易度を左右する重要なポイントです。
まずは鏡を用意して、以下の2つのステップでどちらのタイプかチェックしてみてください。
STEP 1:あごを後ろに引いて「噛み合わせ」をチェック

STEP 2:「横顔」と「歯の角度」をチェック

STEP 1 & 2の結果をチェック!
ご自身の状態に近いのはどちらでしたか?
- 【Aパターン】「歯並び」が原因の可能性が高い人
- 下あごを引くと、前歯の先端どうしがカチッと当たる
- 下の前歯が、上の前歯を追い越すように外側へ傾いている
- 💡 ポイント: 歯の角度を矯正することで、手術なしでEラインを整えられる可能性が高いタイプです。
- 【Bパターン】「骨格」が原因の可能性が高い人
- あごを後ろに引こうとしても、上下の前歯の間に大きな距離がある
- 歯の生え方だけでなく、下あごの骨そのものが前に出ている
- 💡 ポイント: 骨の位置そのものに原因があるため、歯科矯正とあわせて外科手術が必要になるケースが多いタイプです。
💡 知っておきたいポイント
マウスピース矯正は「下の歯全体を後ろに下げる」動きが得意で、もしあなたが「歯並び由来」であれば、手術なしでEラインに近づける可能性があるでしょう。
ただ、噛み合わせのズレが非常に大きい場合や、抜歯をして歯を大きく平行移動させる必要がある重度の症例では、ワイヤー矯正のほうが適しているケースもあります 。
ただし、セルフチェックはあくまで目安に過ぎません。もしあなたが歯並びが原因の「Aパターン」だとしても、精密検査の結果、骨格にアプローチしなければ改善が難しいと判明するケースもあります。
「自分のしゃくれはどのタイプ?」「本当に矯正で治るの?」と一人で悩み、検索を繰り返すだけでは、残念ながらお悩みは解決しません。
原因を正確に特定し、後悔のない治療プランを立てるには、レントゲンや3Dスキャンを用いた歯科医師による精密な診断が不可欠です。
通常、このような精密検査には一般的に3万円ほどの費用がかかりますが、納得のいく選択をしていただくために、 Oh my teeth導入クリニックではこの精密検査を無料で実施しています。

治療が必要かどうか、矯正で対応できるかなども確認できるので、「しゃくれが気になっている...」という方は、お気軽にご相談ください。
しゃくれを放置する3つのリスク
しゃくれの状態をそのままにしておくと、見た目のコンプレックスだけでなく、お口や全身の健康にさまざまな悪影響を及ぼす可能性があります。
- 顎関節症(あごの痛みや音)の原因になる
- 磨き残しが増え、虫歯や歯周病のリスクが高まる
- 隙間から空気が漏れやすく、サ行などの滑舌に影響が出る恐れがある
これらのリスクを回避するためにも、早期に適切な診断を受けるようにしましょう。
しゃくれを治すメリット
しゃくれを改善することは、自分に自信を持つための第一歩です。さらに、将来のお口の健康を守ることにもつながります。
- 突き出た顎先が後ろに下がり、横顔の「Eライン」が整う
- 噛み合わせが改善され、食事がしっかり噛めるようになる
- デンタルケアがしやすくなるため、将来的に自分の歯を残しやすくなる
特に歯並びが原因のしゃくれであれば、歯科矯正によって手術なしでの改善が期待できる場合があります。
矯正中はこまめに歯を磨く習慣がつくため、自然と1日の歯磨き回数が増え、お口の健康への意識も高まります。
しゃくれの改善を目指しながら、一生モノの健康な歯を保つためのケア習慣を身につけられるのは、歯科矯正の隠れたメリットといえます。
【原因別】しゃくれの歯列矯正方法

しゃくれの改善には、主に3つのアプローチがあります。
矯正方法 | 適応する症状の目安 | 費用目安 |
ワイヤー矯正 | 抜歯が必要な重度の症例や、複雑な歯の移動が必要なケース。 | 60万円〜170万円程度 |
マウスピース矯正 | 軽度〜中度の歯並び由来のしゃくれ。下の前歯を後ろに下げる移動に適しています。 | 60万円〜100万円程度 |
外科的矯正 | 骨格そのものに大きな原因がある重度のケース(下顎前突など)。 | 自費:140万円〜400万円程度 (「顎変形症」と診断された場合は保険適用可) |
それぞれの特徴や費用の目安を理解し、自分のライフスタイルや症状に合ったものを選びましょう。
ワイヤー矯正
矯正力の強いワイヤー矯正は、主流の治療法です。
歯を並べるスペースが足りず、下の歯を抜歯して奥へ動かす治療を得意としています。
ブラケットやワイヤーの見た目が気になる場合は、目立ちにくい素材や裏側矯正を選ぶことも可能です。
ただし、これらは費用が高くなる傾向にあります。
ワイヤー矯正の費用目安
- 表側矯正(全体矯正):60万〜130万円/期間目安:1〜3年
- 裏側矯正(全体矯正):100万〜170万円/期間目安:2〜3年
見た目の希望や予算に応じて、装置の種類を選ぶとよいでしょう。
なお、詳しくは「しゃくれの矯正費用はいくら?」もあわせてご覧ください。
マウスピース矯正
マウスピース矯正は、透明で目立ちにくい装置を使って歯を少しずつ動かす矯正方法です。
装置の着脱が自分でできるため、食事や歯磨きの際に取り外せる点も特徴といえます。
症例によっては不適合になる可能性はありますが、軽度〜中度の反対咬合ならマウスピース矯正を検討してみましょう。
なお、噛み合わせのズレが大きい場合や抜歯が必要な場合には、ワイヤー矯正が適していることもあります。
マウスピース矯正の費用目安
- 費用の目安:60万〜100万円程度
- 全体矯正の治療期間:1〜3年
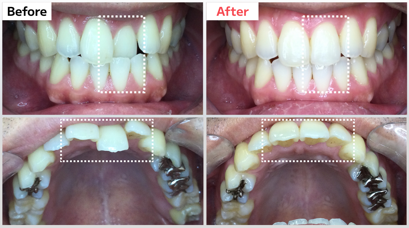
以下は、Oh my teethのマウスピース矯正で反対咬合を改善した実際の症例です。

- 治療期間:5ヶ月
- 治療総額:33万円(税込)
- 非抜歯/全体矯正/研磨処置込み
※保険適用外の自由診療です。効果や感じ方には個人差があります。マウスピース橋正(Oh my teeth含む)の主なリスク:虫歯・歯周病・ブラックトライアングル・歯根吸収・歯肉退縮・1日20時間以上のマウスピース装着が必須・マウスピースにより痛みを感じる可能性・治療中に一時的にかみ合わせに不具合をきたす可能性・治療期間と同等の期間、1日20時間リテーナーを装着、リテーナー期間以降は就寝時の装着を推奨。

- 治療期間:9ヶ月
- 治療総額:66万円(税込)
- 非抜歯/全体矯正/研磨処置込み
※保険適用外の自由診療です。効果や感じ方には個人差があります。マウスピース橋正(Oh my teeth含む)の主なリスク:虫歯・歯周病・ブラックトライアングル・歯根吸収・歯肉退縮・1日20時間以上のマウスピース装着が必須・マウスピースにより痛みを感じる可能性・治療中に一時的にかみ合わせに不具合をきたす可能性・治療期間と同等の期間、1日20時間リテーナーを装着、リテーナー期間以降は就寝時の装着を推奨。
Oh my teeth のマウスピース矯正は、料金プランがシンプル。

無料診断では無理な勧誘は一切ありませんので、「しゃくれの原因を知りたい」「しゃくれが矯正で治るか調べてほしい」という方はお気軽に相談ください。
外科的矯正

骨格に原因があるしゃくれ(下顎前突)の場合は、あごの骨そのものを整える外科的矯正が必要になることがあります。
これは、外科手術と歯列矯正を組み合わせた治療方法で、主に「顎変形症」と診断された場合に行われます。
手術は全身麻酔で行う骨の切除・移動手術となり、体への負担はありますが、見た目にも大きな変化が期待できるのが特長です。
外科的矯正の流れ
- 手術前矯正(目安1年)
- 手術(10日〜2週間入院)
- 手術後矯正(目安1年)
- 保定(数年)
クリニックによっては、先に手術を行う「サージェリーファースト」方式を採用している場合もあり、治療期間の短縮や見た目の早期改善が期待できます。
外科的矯正の費用目安
- 保険適用ありの場合:約50万~65万円
- 保険適用外(自費)の場合:140万~400万円程度
※顎変形症と診断され、指定医療機関で治療を受ける場合は健康保険が適用されることもあります。
あわせて読みたい⇓
しゃくれは矯正ではなく、自力で治せる?

結論からいうと、しゃくれたあごを自力で治すことはできません。
骨格や歯並びに原因があるケースがほとんどで、自己流のマッサージや押し込みでは根本的な改善は難しいです。
また無理に歯を押したりすると、歯やあごに悪影響を与えるリスクもあります。しゃくれが気になる場合は、まずは歯科医院へ相談に行くことが大切です。
詳しくは「顎が出てるのを自分で治すには?」で詳しく解説しているのであわせてご覧ください。
しゃくれを治す際の注意点
歯科矯正で納得のいく仕上がりを目指すためには、装置の特性や治療の限界、そして守るべきルールを正しく理解しておくことが重要です。ここでは、治療を検討する際に必ず知っておきたい3つの注意点を解説します。
骨格性の場合、歯列矯正だけでは限界がある
歯を動かすだけの矯正治療では、あごの骨自体の形や位置を根本から変えることはできません 。
無理に歯だけを移動させると、歯が骨の土台から外れてしまったり、満足のいく横顔の改善が得られなかったりするリスクがあります。
骨格に大きな原因がある重度の症例では、矯正治療と外科手術を組み合わせた「外科的矯正」が必要になることがあります。
矯正後に「後戻り」を防ぐための保定期間が必須
矯正治療で歯が動いた直後は、まだ周囲の骨が安定しておらず、歯が元の位置に戻ろうとする「後戻り」が起きやすい状態です 。
歯科医師の指示に従ってリテーナーを装着することが大切です。
- リテーナー(保定装置)の装着:後戻りを防ぐため、治療終了後はリテーナーを装着する「保定期間」が必ず設けらる。
- 装着時間の目安 :一般的に、1日20時間以上の装着が必須。(Oh my teethでは矯正終了後3ヶ月を保定期間の目安とし、その後は夜だけリテーナーを装着いただくようお願いしています)
歯科医師による正確な診断が不可欠
しゃくれの原因が「歯並び」にあるのか「骨格」にあるのかは、外見上の判断だけでは不十分です 。精密検査で骨格のズレの程度や歯の傾斜角度を数値化し、客観的に評価する必要があります。
たとえば、 Oh my teethの導入クリニックで行っている「3D歯型スキャン」では、口腔内スキャナーを使用します。

このスキャンは単に歯並びを整えるためのデータ取得にとどまらず、目視では見落としやすい隠れた虫歯の有無や歯ぐきの健康状態など、お口全体のコンディションも診られます。
しゃくれの矯正に関するよくある質問(FAQ)

ここからはしゃくれの矯正でよくある質問を紹介します。
もっとしゃくれを深掘りして、疑問点をなくしましょう。
大人でもしゃくれの矯正はできる?
はい、健康な歯と骨があれば、年齢に関わらず矯正を検討できます。実際、マウスピース矯正 Oh my teethのユーザーさんは20~40代がメインですが、50代以上の方にもご利用いただいています。

また、「前歯の噛み合わせが悪い」や「口元が出ている」といった悩みを抱える方は少なくありません。大人になってからコンプレックスを解消し、美しい横顔を目指す方は非常に多くいらっしゃいます。
あわせて読みたい⇓
子どものしゃくれ矯正は何歳から始めるのが理想ですか?
骨の成長コントロールが可能な4〜6歳ごろから相談を始めるのがいいとされています。
この時期から対応することで、将来的に外科手術が必要になるリスクを軽減できる可能性が期待できるからです。ただし、最適な開始時期は永久歯の生え代わり状況などによっても異なるため、専門医による適切な診断が不可欠です 。
矯正後にしゃくれることも?
歯列矯正の後、あごがしゃくれたように感じることがあります。これは、矯正で口元が後ろに下がりすぎたのが主な原因です。
特に、歯を抜いて矯正した場合に起きやすくなります。
歯をきれいに並べるスペースを作るために歯を抜くと、その空いたスペースに前歯が下がってきます。この時、前歯が下がりすぎてしまうと、あごが相対的に前に出たように見えてしまうのです。
歯をきれいに並べるスペースを作るために歯を抜くと、その空いたスペースに前歯が下がってきます。この時、前歯が下がりすぎてしまうと、あごが相対的に前に出たように見えてしまうのです。
詳しくは「抜歯矯正は口元が引っ込みすぎる?」をご覧ください。
しゃくれを放置するとどんな影響がある?
しゃくれをそのままにしておくと、見た目だけでなく機能面にもさまざまな影響があります。
たとえば、Eライン(横顔の美しさの基準)から大きく外れることで、顔のバランスが崩れ、コンプレックスを感じやすくなる人も多いです。
また、滑舌が悪くなったり、発音が不明瞭になるなど、コミュニケーションに支障が出るケースもあります。
さらに、噛みにくさや顎の疲れやすさ、顎関節症のリスクにもつながるため、放置はおすすめできません。
気になる症状がある場合は、早めに歯科で相談するのが安心です。
しゃくれは市販のグッズで矯正できる?
結論からいうと、市販のグッズでは治せません。
自力で治るかでも解説したとおり、しゃくれの原因が骨格などにある場合、骨格自体をどうにかしないといけないため、グッズで治すことは難しいです。
ただし歯ぎしりや食いしばり、頬づえなどの悪い癖に日頃から気をつけることで、しゃくれの進行を防ぐことはできます。
自分にそのような悪い癖がないかを思い返してみましょう。
あわせて読みたい⇓
しゃくれの矯正は保険適用される?
歯科矯正は原則として自由診療(保険適用外)ですが、「顎変形症」と診断された場合は保険が適用されることがあります。
顎変形症とは、上下のあごのズレが大きく、噛みにくさや発音障害などの機能面に支障がある状態です。
この場合、外科手術をともなう「外科的矯正治療」が保険適用になります。
ただし、診断や治療は指定医療機関で行う必要があるため、まずは専門医に相談しましょう。
また、保険適用外の矯正でも医療費控除の対象になるケースも。
機能改善を目的とした治療なら、確定申告で費用の一部が戻る可能性があります。
あわせて読みたい⇓
「受け口じゃないのにしゃくれ」に見えるケースはある?
噛み合わせは正常でも、鼻が低かったり、唇が薄かったり、顔立ち全体のバランスによって、あご先が突き出しているような印象を与えることがあります。
詳しくは「受け口じゃないのにしゃくれる原因は?」の記事で解説しています。
しゃくれ矯正で悩んだ時のファーストステップ

しゃくれの状態は、原因が「骨格」にあるのか「歯並び」にあるのかによって治療のアプローチが大きく異なります。
特に歯並びが原因のしゃくれは、適切な矯正歯科治療によって手術なしでの改善が期待できるケースも少なくありません。
セルフチェックだけで判断を完結させても、残念ながら理想の横顔には近づけません。解決への唯一の道は、専門家による精密な診断を受けることです。
そのためにも、Oh my teethではしゃくれの悩みを安心して相談できるよう努めています。
【Oh my teethの特長】
- 日本矯正歯科学会の「認定医」が在籍
- 国産マウスピース矯正ブランド製造数No.1※
- 3D歯型スキャンで歯の動きのシミュレーションが見られる
※2025年1月GMOリサーチ&AI社デスクリサーチ調べ(対象:2024.1~12,国内歯列矯正用マウスピースブランド)

「とりあえず現状を知るだけ」でも構いません。 まずは、まずは無料の歯型スキャンから始めてみませんか?



